前十字靭帯断裂
(TPLO)

【診療科目】>整形外科> 前十字靭帯断裂(TPLO)

前十字靭帯断裂

前十字靭帯は、膝の関節にある重要な靭帯の1つです。下の図のように膝の関節は大腿骨と脛骨で構成されています。

*

前十字靭帯は3つの役割を担っていると言われています。
①脛骨が前に出るのを防ぐ
②膝が過伸展(伸びすぎる事)を防ぐ
③脛骨が内旋(内側に回転する事)を防ぐ
他の靭帯でも②・③の役割は補う事が出来るのですが、①の脛骨が前に出るのを防ぐ役割は前十字靭帯のみが担っています。

そのため、前十字靭帯が断裂してしまうと脛骨が前に出てしまい、関節が安定せず関節炎の原因になったり痛みが出てしまいます。

ではなぜ前十字靭帯は断裂してしまうのでしょうか? それはわんちゃんの脛骨の形に特徴があるからだと言われています。 わんちゃんの脛骨は正常でも下のレントゲンのように斜めに傾いています。

*

このため上から力がかかると脛骨が前に出る力が発生します。
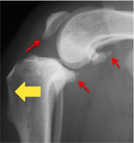
イメージとしては三角形の積み木を上から押すと前に出るのと同じです。 この力に前十字靭帯が耐えきれなくなると断裂してしまうのです。 断裂してしまったら手術をしてあげないと改善しない子が多いです。 断裂してしまった子は下のレントゲンのように脛骨が前方に変位し、関節炎が進み骨が滑らかでなくなってしまいます。

*

手術は様々な方法がありますが、当院ではTPLO(脛骨高平部水平化骨切術)を実施しております。 TPLOは前十字靭帯断裂に対する最新の手術法の1つです。 脛骨を一部骨切りし、回転させることによって斜めに傾いているところを平らにし、 脛骨が前に出る力を無くしてあげようという手術法です。

*

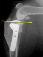
他の手術方法ではワイヤーや他の靭帯を用いて前十字靭帯の再建を試みますが、 TPLOは膝の機能の安定化を目的としている手術法です。 そのためTPLOは前十字靭帯の完全断裂だけでなく部分断裂の治療法としても有効であり、 活発に運動ができるようになるまでの期間を従来の手術法よりも短縮させ、 関節内の変化を最小限に抑えることが出来ます。 特に、長期のリハビリテーションや術後管理が困難な大型で活動的な犬の治療法として最適です。 実際に手術を行なった子のレントゲンです。斜めだった脛骨が平らになっているのが分かります。

*
腹腔鏡胸腔鏡

診療科目:腹腔鏡・胸腔鏡

『傷』が小さく、『痛み』が少ない手術・検査ができます!!
内視鏡外科(低侵襲)を希望のかたは東京どうぶつ低侵襲医療センター・王子ペットクリニックに相談ください。
獣医師、看護師の方の見学受付中

オンライン診療・セカンドオピニオン

オンライン診療のご案内

セカンドオピニオンや日常のご相談まで幅広く対応。
飼い主様のニーズに応えるため、当院ではオンライン診療を行っています。
初めての飼い主様には、セカンドオピニオンや受診に迷った際のご相談を、かかりつけの飼い主様には、検査結果や治療・お薬、お世話に関する不安などに対応しています。 登録は無料ですので、ぜひお気軽にご利用ください。

お問い合わせ

Contact

飼い主様はもちろん、獣医師の方も
お気軽にお問い合わせください。
電話
03-3913-2500
メール
お問い合わせ
LINE
LINE 登録
矢印
東京どうぶつ低侵襲医療センター 王子ペットクリニック

東京どうぶつ低侵襲医療センター
王子ペットクリニック

〒114-0003
東京都北区豊島1-22-9
03-3913-2500
【電話受付】9:00~12:00 / 16:00~19:00
【休  診】火曜日(予約診療・手術あり)
診療時間
9:00~12:00   
通常診療
12:00~16:00 
予約診療・手術
16:00~19:00 
通常診療 ※土日は
15:30~18:00
木曜日の16:00~17:00は猫専門診療時間となります。
※休診日:火曜日(予約診療・手術あり)

【時間外診察料について】
12:00~16:00、19:00~(土日は18:00~)に受付された方は時間外
料金が発生致します。
平日午後の診察は18:30までに受付を済ませてください。
土日祝は受付は18:00までとなります。

なお、薬・フードの対応は診療時間内のみ対応致します。
時間外にいらした際は時間外料金が発生する場合がございます。

【獣医師指名について】
 AM 11:30まで
 PM 18:00まで

※外部サイトが開きます
© Oji Pet Clinic
ページトップ