東京どうぶつ低侵襲医療センター
王子ペットクリニック
WEB受付
WEB問診
公式 Youtube
公式 face book
公式 LINE
トリミングサロン
クローバー
TOP
低侵襲医療とは
診療科目
病院案内
取り組み
スタッフ
お知らせ
アクセス
お問い合わせ
TOP
低侵襲医療とは
診療案内
診療科目TOP
肝臓胆嚢膵臓専門診療
腹腔鏡・胸腔鏡
CT・内視鏡検査
内視鏡検査
呼吸器科
耳鼻科
消化器科
カテーテル治療(IVR)
腫瘍科
腎臓病センター(泌尿器科)
再生医療
神経科
整形外科
眼科
エキゾチック科
病院案内
病院案内TOP
初めての方へ
診療のご案内
施設紹介
スタッフ紹介
専門医のご紹介
アクセスマップ
猫専門診療時間
取り組み
取り組みTOP
健康診断
予防について
学会発表
執筆活動
スタッフ
お知らせ
アクセス
お問い合わせ
WEB受付
WEB問診
カテーテル治療
IVR
画像下治療:Interventional Radiology
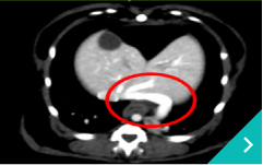
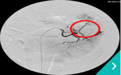
当院では、高度な治療のひとつである「IVR(画像下治療:Interventional Radiology)」を行っています。
IVRとは、レントゲン透視(X線)や超音波などの画像を使いながら、カテーテルという細い管を体内に通して、病気のある部位を治療する方法です。開胸や開腹をせずに治療できることから、体への負担が少なく、多くのわんちゃん・ねこちゃんにとって優しい選択肢となります。
IVRで治療できる主な病気
動脈管開存症(PDA):心臓に残ってしまった余分な血管を、カテーテルを使って閉鎖します。
肺動脈狭窄症:狭くなった血管をバルーン(風船)で広げて、血流を改善します。
尿路閉塞(結石など):尿道ステントの設置や、カテーテルによる排尿処置。
門脈体循環シャント:異常な血管にコイルやプラグを入れて、血流を正常化します。
腫瘍に対する局所化学療法:抗がん剤を血管から腫瘍に直接届ける治療。
診療内容
Treatments
門脈シャント
コイル塞栓術
血管プラグ
塞栓術
肝臓腫瘤に対する
肝動脈塞栓術
脾動脈
コイル塞栓術
心臓
カテーテル
ご案内
東京どうぶつ低侵襲医療センターでは、動物たち一頭一頭に最適な診療を提供するため、各分野の専門医が診療にあたっています。
当院で対応可能な診療科目をアイコンでわかりやすくご紹介しています。
気になる症状や診療内容に応じて、各診療科ページをご覧ください。
肝臓胆嚢
膵臓
専門診療
詳しく
腹腔鏡
胸腔鏡
詳しく
同日CT
内視鏡検査
詳しく
内視鏡検査
詳しく
呼吸器科
詳しく
耳鼻科
詳しく
消化器科
詳しく
カテーテル治療
IVR
詳しく
腫瘍科
詳しく
腎臓病
センター
(泌尿器科)
詳しく
再生医療
詳しく
神経科
詳しく
整形外科
詳しく
眼科
詳しく
エキゾチック科
詳しく
お問い合わせ
Contact
飼い主様はもちろん、獣医師の方も
お気軽にお問い合わせください。
03-3913-2500
お問い合わせ
LINE 登録
東京どうぶつ低侵襲医療センター
王子ペットクリニック
〒114-0003
東京都北区豊島1-22-9
03-3913-2500
【電話受付】9:00~12:00 / 16:00~19:00
【休 診】火曜日(予約診療・手術あり)
診療時間
月
火
水
木
金
土
日
祝
9:00~12:00
通常診療
○
予
○
○
○
○
○
○
12:00~16:00
予約診療・手術
○
予
○
○
○
○
○
○
16:00~19:00
通常診療
※土日は
15:30~18:00
○
予
○
猫
○
○
○
○
木曜日の16:00~17:00は猫専門診療時間となります。
※休診日:火曜日(予約診療・手術あり)
【時間外診察料について】
12:00~16:00、19:00~(土日は18:00~)に受付された方は時間外
料金が発生致します。
平日午後の診察は18:30までに受付を済ませてください。
なお、薬・フードは19:00まで対応します。
【獣医師指名について】
AM 11:30まで
PM 18:00まで
WEB受付
WEB問診
googlemap
※外部サイトが開きます
site map
TOP
低侵襲医療とは
診療科目
肝臓胆嚢膵臓専門診療
門脈体循環シャントとは
犬猫の肝胆膵疾患
腹腔鏡・胸腔鏡
腹腔鏡下
避妊(不妊)手術
腹腔鏡下
潜在精巣摘出術
腹腔鏡下
門脈体循環シャント手術
腹腔鏡下
胆嚢摘出術
腹腔鏡下
副腎摘出術
腹腔鏡下
膀胱結石摘出術
小切開
脾臓摘出術
腹腔鏡下
胆嚢肝臓がん摘出手術
胸腔鏡下乳び胸
(Chylothorax)心膜切除手術
腹腔鏡下
膵臓腫瘍摘出術
小切開
肺葉切除
腹腔鏡下
心嚢横隔膜ヘルニア手術
胸腔鏡下
胸腺腫切除
胸腔鏡下
心膜切除
CT・内視鏡検査
内視鏡検査
腹腔鏡検査
胸腔鏡検査
消化器内視鏡検査
呼吸器内視鏡検査
尿道膀胱鏡検査
耳鏡検査
特発性炎症性腸疾患(IBD)
呼吸器科
耳鼻科
鼻咽頭狭窄拡張術
鼻腔・鼻咽頭内異物摘出術
消化器科
カテーテル治療(IVR)
門脈シャントコイル
塞栓術
血管プラグ
塞栓術
肝臓腫瘤に対する
肝動脈塞栓術
脾動脈コイル
塞栓術
心臓カテーテル
腫瘍科
腫瘍外科
肝臓がんアブレーション治療
免疫細胞治療
高濃度ビタミンC療法
オゾン治療
悪性腫瘍
電気化学治療 ECT
副腎腫瘍摘出術
(血管内浸潤)
腎臓病センター(泌尿器科)
レーザー結石破砕
血液透析治療
SUBシステム
ステント治療
膀胱・前立腺摘出
尿管膀胱新吻合術
(猫の会陰尿道造瘻術)
低侵襲
尿管・尿道・膀胱結石治療
再生医療
再生医療って
何だろう?
再生医療
適応している疾患例
神経科
椎間板ヘルニアとは
ベントラルスロット
(腹側減圧術)
椎間板ヘルニア
脊椎内視鏡手術
(新しい治療)
経皮的レーザー椎間板減圧術
(PLDD)
椎間板ヘルニア
従来通りの治療
脊髄損傷
再生医療
整形外科
前十字靭帯断裂(TPLO)
関節鏡検査
骨折
膝蓋骨脱臼
眼科
エキゾチック科
病院案内
初めての方へ
診療のご案内
施設紹介
スタッフ紹介
院長紹介
専門医のご紹介
アクセスマップ
猫専門診療時間
取り組み
健康診断
予防について
学会発表
腹腔鏡下副腎摘出術を実施した猫の2例
ICG蛍光法を用いて 胸腔鏡下胸管閉鎖術を行った乳び胸の猫の1例
肝動静脈瘻を含む中央および左肝区域切除後に段階的後天性シャントの閉鎖を行なった若齢犬の1例
スリップノットを用いて分割手術をした腹腔鏡下門脈体循環シャント結紮術の3例
犬の先天性肝外門脈体循環シャント33症例における腹腔鏡手術の回顧的研究
小動物脊椎内視鏡(Easy GO Ⅱ)を用いて椎間板ヘルニア手術を行った2症例
犬の先天性肝外門脈体循環シャントに対し、腹腔鏡手術を行った25例と開腹手術を行った9例の比較検討
胸腔鏡下で胸腺腫摘出術を実施した犬の一例
黄疸を伴う肝疾患にADSC(自家脂肪由来幹細胞)を投与した犬の一例
犬の腹腔鏡下門脈体循環シャント結紮術のタイプ別アプローチ法の検討
自家および他家の脂肪由来間葉系幹細胞を投与した特発性炎症性腸疾患の犬の2例
腹腔鏡下副腎摘出術を実施した犬の2例
犬の先天性肝外門脈体循環シャントにおける腹腔鏡手術の適応
先天性胆嚢欠損症の犬7例に関する調査(JCVIM 2015)
原発性門脈低形成と診断された猫の1例
腹腔鏡下門脈体循環シャント結紮術を行った犬の1例
犬の先天性門脈体循環シャントにおける結紮後発作症候群に対するレベチラセタムの有用性の検討:51例
先天性門脈体循環シャントの犬における低血糖とインスリンに関する検討
ハイドロキシウレアで治療を行った脳底部髄膜種の犬の一例
シクロスポリンで良好な経過が得られた犬の特発性炎症性腸疾患の4例
経腸間膜静脈門脈造影ではシャント血管を描出できずCT門脈造影により単一PSSと診断された2例
流産後に子宮蓄膿症に罹患したプレカリクレイン欠乏症の犬の1例
先天性胆道拡張症および胆管の発生異常(Ductal plate malformation)が併発した猫に胆汁外瘻を実施し良好に経過した1例
猫伝染性腹膜炎に似た化膿性肉芽腫性炎を呈したフェレットの2例
門脈体循環シャント犬の手術後における血液凝固系の検討
執筆活動
お知らせ
お問い合わせ
見学希望
求人
WEB受付
© Oji Pet Clinic