副腎は腎臓の近くにある小さな内分泌器官で、ホルモンを分泌し、体のバランスを保つ大切な役割を担っています。この副腎に腫瘍ができると、ホルモンの過剰分泌や周囲の臓器への影響により、さまざまな症状を引き起こすことがあります。
犬にみられる副腎腫瘍には、
・副腎皮質から発生する腺腫・腺癌
・副腎髄質から発生する褐色細胞腫(カテコラミンを分泌)
などがあり、症状や治療法が異なります。
副腎腫瘍の治療では、外科手術による腫瘍の摘出(副腎摘出術)が最も効果的です。ホルモンの過剰分泌を止めることができるだけでなく、腫瘍の進行や転移を防ぐ目的もあります。
特に、以下のような場合には手術が検討されます:
・腫瘍が成長している
・明らかなホルモン異常がある(クッシング症候群、高血圧など)
・他の臓器を圧迫または浸潤している
副腎腫瘍の中には、後大静脈などの重要な血管の中に腫瘍が入り込む(血管内浸潤)タイプがあります。このような場合、手術はさらに高度で慎重な対応が求められます。 当院では、術前にCT検査などを用いて正確な病態を把握し、安全に手術を実施する体制を整えております。必要に応じて、外科専門医や麻酔専門医がチームで対応いたします。
血液検査、ホルモン検査、超音波検査、CT検査などを行い、腫瘍の性質や広がりを確認します。
2. 術当日全身麻酔下で腫瘍を摘出します。血管内に腫瘍がある場合には、血管を開いて腫瘍を取り除く処置が必要になることもあります。
3. 後管理術後は集中管理室で血圧・血糖値・電解質などをモニターしながら、慎重に回復を見守ります。ホルモンバランスの変化に応じて、点滴や薬によるサポートを行います。
副腎腫瘍の種類や進行具合によって異なりますが、早期に発見し適切な手術が行われた場合、良好な経過をたどるケースも多くあります。 ただし、血管内への浸潤や転移がある場合は、再発や合併症のリスクもあるため、継続的な経過観察が大切です。
副腎腫瘍は、外見だけでは気づきにくい病気ですが、適切な検査と治療によって、わんちゃん・ねこちゃんの生活の質を大きく改善できる可能性があります。 当院では、画像診断から手術、術後管理まで一貫した医療体制を整えております。副腎腫瘍と診断された際には、不安なことやご質問があればどうぞお気軽にご相談ください。
膀胱結石の精査目的で他院にてCT検査を実施したところ、左副腎に腫瘍性病変が認められ、後大静脈への浸潤も確認されました。 これを受けて、手術目的で当院を受診されました。 当院にて褐色細胞腫摘出術を実施し、術後は体調良好であったため、術後4日目に退院されました。



手術前のCT検査にて腫瘍の浸潤・転移チェックを実施

特殊な切開での手術(U字切開)

特殊な切開での手術(U字切開)

手術中の様子

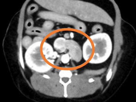
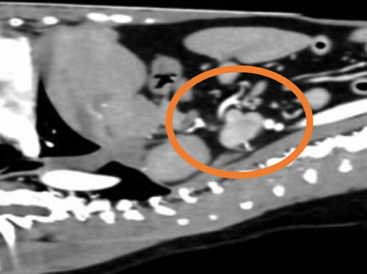
後大静脈に浸潤している副腎腫瘍(緑丸)

後大静脈に浸潤している副腎腫瘍(緑丸)

血行遮断をしている様子

術後の傷口:当日

術後の傷口:術後3ヶ月後
『傷』が小さく、『痛み』が少ない手術・検査ができます!!
内視鏡外科(低侵襲)を希望のかたは東京どうぶつ低侵襲医療センター・王子ペットクリニックに相談ください。
獣医師、看護師の方の見学受付中
セカンドオピニオンや日常のご相談まで幅広く対応。
飼い主様のニーズに応えるため、当院ではオンライン診療を行っています。
初めての飼い主様には、セカンドオピニオンや受診に迷った際のご相談を、かかりつけの飼い主様には、検査結果や治療・お薬、お世話に関する不安などに対応しています。
登録は無料ですので、ぜひお気軽にご利用ください。
Contact
| 診療時間 | 月 | 火 | 水 | 木 | 金 | 土 | 日 | 祝 |
|---|---|---|---|---|---|---|---|---|
| 9:00~12:00 通常診療 |
○ | 予 | ○ | ○ | ○ | ○ | ○ | ○ |
| 12:00~16:00 予約診療・手術 |
○ | 予 | ○ | ○ | ○ | ○ | ○ | ○ |
|
16:00~19:00 通常診療 ※土日は 15:30~18:00 |
○ | 予 | ○ | 猫 | ○ | ○ | ○ | ○ |
【獣医師指名について】
AM 11:30まで
PM 18:00まで