【診療科目】>カテーテル治療(IVR)> 脾動脈コイル塞栓術
元気消失、食欲不振、虚脱の症状が認められたため、超音波検査を実施したところ、腹腔内に血様の腹水が確認されました。 脾臓には腫瘤性病変が認められ、そこからの出血が強く疑われました。また、重度の凝固機能低下が認められ、輸血を行っても十分な改善が得られなかったことから、開腹による外科的摘出は困難と判断しました。 そのため、低侵襲的な止血手段として即日、脾動脈に対するコイル塞栓術を実施しました。処置後は大きな合併症もなく、術後の状態は安定しており、翌日に退院となりました。

カテーテルを目的臓器まで挿入している様子

カテーテルを目的臓器まで挿入している様子

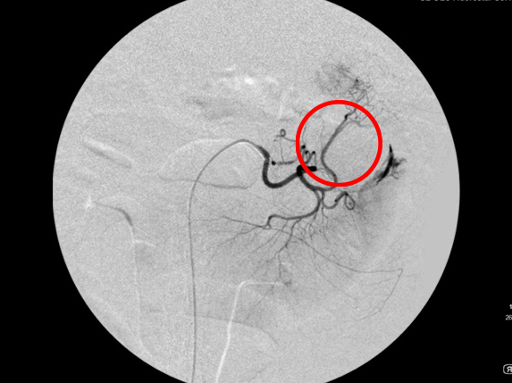
造影検査にて脾臓からの出血を確認(赤丸)

コイル塞栓後の造影検査(脾臓からの出血が止まったことを確認)

肝臓の造影検査を実施し肝臓からの出血がないことを確認

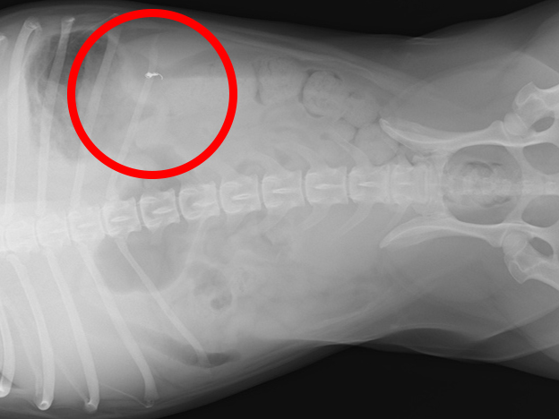
術後2ヶ月後のレントゲン写真(赤丸がコイル)

術後2ヶ月後のレントゲン写真(赤丸がコイル)
『傷』が小さく、『痛み』が少ない手術・検査ができます!!
内視鏡外科(低侵襲)を希望のかたは東京どうぶつ低侵襲医療センター・王子ペットクリニックに相談ください。
獣医師、看護師の方の見学受付中
セカンドオピニオンや日常のご相談まで幅広く対応。
飼い主様のニーズに応えるため、当院ではオンライン診療を行っています。
初めての飼い主様には、セカンドオピニオンや受診に迷った際のご相談を、かかりつけの飼い主様には、検査結果や治療・お薬、お世話に関する不安などに対応しています。
登録は無料ですので、ぜひお気軽にご利用ください。
Contact
| 診療時間 | 月 | 火 | 水 | 木 | 金 | 土 | 日 | 祝 |
|---|---|---|---|---|---|---|---|---|
| 9:00~12:00 通常診療 |
○ | 予 | ○ | ○ | ○ | ○ | ○ | ○ |
| 12:00~16:00 予約診療・手術 |
○ | 予 | ○ | ○ | ○ | ○ | ○ | ○ |
|
16:00~19:00 通常診療 ※土日は 15:30~18:00 |
○ | 予 | ○ | 猫 | ○ | ○ | ○ | ○ |
【獣医師指名について】
AM 11:30まで
PM 18:00まで