腎臓病センター(泌尿器科)
腎臓病センター
(泌尿器科)

王子ペットクリニック
腎臓病センター
近年、動物医療の発展によりワンちゃん、ネコちゃんの平均寿命が大幅に上昇しました。それに伴い、飼い主様の求める医療も多種多様になっています。

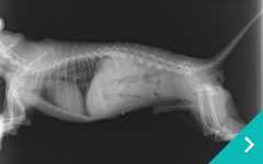
当院では院内に「腎臓病センター」を開設し、感染症や中毒による急性腎不全や高齢化に伴う慢性腎不全、ネコの尿管結石などの治療を行っています。

「血液透析」「結石破砕装置」「2.8mm細径内視鏡」 「SUBシステム」「尿管ステント」を組み合わせる事により、今までにない新たな治療に取り組んでいきます。

診療内容

Treatments
レーザー結石破砕
レーザー
結石破砕
血液透析治療
血液
透析治療
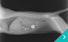
SUBシステム
SUB
システム
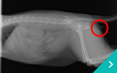
ステント治療
ステント
治療
膀胱前立腺摘出
膀胱
前立腺摘出
尿管膀胱新吻合術(猫の会陰尿道造瘻術)
尿管膀胱新吻合術
(猫の会陰尿道造瘻術)
低侵襲尿管・尿道・膀胱結石治療
低侵襲
尿管・尿道・膀胱結石治療
ご案内
東京どうぶつ低侵襲医療センターでは、動物たち一頭一頭に最適な診療を提供するため、各分野の専門医が診療にあたっています。
当院で対応可能な診療科目をアイコンでわかりやすくご紹介しています。
気になる症状や診療内容に応じて、各診療科ページをご覧ください。
肝臓胆嚢膵臓
肝臓胆嚢
膵臓
専門診療
詳しく
腹腔鏡
腹腔鏡
胸腔鏡
詳しく
CT内視鏡
同日CT
内視鏡検査
詳しく
内視鏡
内視鏡検査
詳しく
呼吸器
呼吸器科
詳しく
耳鼻科
耳鼻科
詳しく
消化器
消化器科
詳しく
カテーテル
カテーテル治療
IVR
詳しく
腫瘍科
腫瘍科
詳しく
腎臓病
腎臓病
センター
(泌尿器科)
詳しく
再生医療
再生医療
詳しく
神経科
神経科
詳しく
整形外科
整形外科
詳しく
眼科
眼科
詳しく
エキゾチック
エキゾチック科
詳しく
補助療法
補助療法
詳しく
腹腔鏡胸腔鏡

診療科目:腹腔鏡・胸腔鏡

『傷』が小さく、『痛み』が少ない手術・検査ができます!!
内視鏡外科(低侵襲)を希望のかたは東京どうぶつ低侵襲医療センター・王子ペットクリニックに相談ください。
獣医師、看護師の方の見学受付中

オンライン診療・セカンドオピニオン

オンライン診療のご案内

セカンドオピニオンや日常のご相談まで幅広く対応。
飼い主様のニーズに応えるため、当院ではオンライン診療を行っています。
初めての飼い主様には、セカンドオピニオンや受診に迷った際のご相談を、かかりつけの飼い主様には、検査結果や治療・お薬、お世話に関する不安などに対応しています。 登録は無料ですので、ぜひお気軽にご利用ください。

お問い合わせ

Contact

飼い主様はもちろん、獣医師の方も
お気軽にお問い合わせください。
電話
03-3913-2500
メール
お問い合わせ
LINE
LINE 登録
矢印
東京どうぶつ低侵襲医療センター 王子ペットクリニック

東京どうぶつ低侵襲医療センター
王子ペットクリニック

〒114-0003
東京都北区豊島1-22-9
03-3913-2500
【電話受付】9:00~12:00 / 15:30~18:30
【休  診】火曜日(予約診療・手術あり)
診療時間
9:00~12:00   
通常診療
12:00~15:30 
予約診療・手術
15:30~18:30 
通常診療 ※土日は
15:30~18:00
木曜日の15:30~16:30は猫専門診療時間となります。
※休診日:火曜日(予約診療・手術あり)

【時間外診察料について】
12:00~15:30、18:30~(土日は18:00~)に受付された方は時間外
料金が発生致します。
平日午後の診察は18:30までに受付を済ませてください。
土日祝は受付は18:00までとなります。

なお、薬・フードの対応は診療時間内のみ対応致します。
時間外にいらした際は時間外料金が発生する場合がございます。

【獣医師指名について】
 AM 11:30まで
 PM 18:00まで

※外部サイトが開きます
© Oji Pet Clinic
ページトップ