【診療科目】>カテーテル治療(IVR)> 門脈シャントコイル塞栓術
流涎を主訴として他院を受診し、精査のためCT検査を実施したところ、横隔静脈を介した肝外門脈体循環シャントが確認されました。 凝固検査において異常値が認められたため、出血リスクを考慮し、外科的結紮ではなくコイル塞栓術による治療を希望されました。 コイル塞栓術後は良好に経過し、術後3日間にわたり発作の発現は認められなかったことから、状態が安定していることを確認し、退院となりました。

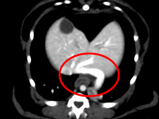
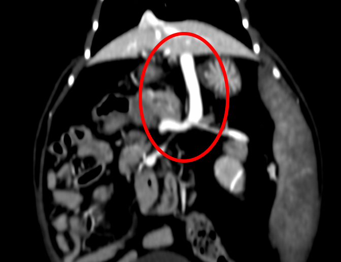
手術前のCT検査での評価(赤丸がシャント血管)

手術前のCT検査での評価(赤丸がシャント血管)

手術中の様子:セルジンガー法

手術中の様子:カテーテル設置後

手術中の様子

門脈造影検査

コイル設置後の造影検査

術後の傷口様子(ほぼ確認できないサイズ)

術後のレントゲン画像

術後のレントゲン画像
『傷』が小さく、『痛み』が少ない手術・検査ができます!!
内視鏡外科(低侵襲)を希望のかたは東京どうぶつ低侵襲医療センター・王子ペットクリニックに相談ください。
獣医師、看護師の方の見学受付中
セカンドオピニオンや日常のご相談まで幅広く対応。
飼い主様のニーズに応えるため、当院ではオンライン診療を行っています。
初めての飼い主様には、セカンドオピニオンや受診に迷った際のご相談を、かかりつけの飼い主様には、検査結果や治療・お薬、お世話に関する不安などに対応しています。
登録は無料ですので、ぜひお気軽にご利用ください。
Contact
| 診療時間 | 月 | 火 | 水 | 木 | 金 | 土 | 日 | 祝 |
|---|---|---|---|---|---|---|---|---|
| 9:00~12:00 通常診療 |
○ | 予 | ○ | ○ | ○ | ○ | ○ | ○ |
| 12:00~16:00 予約診療・手術 |
○ | 予 | ○ | ○ | ○ | ○ | ○ | ○ |
|
16:00~19:00 通常診療 ※土日は 15:30~18:00 |
○ | 予 | ○ | 猫 | ○ | ○ | ○ | ○ |
【獣医師指名について】
AM 11:30まで
PM 18:00まで