鼻咽頭狭窄とは、ねこちゃんの喉の奥(鼻咽頭部分)が狭くなり、空気の通り道が狭まってしまう状態です。
これにより、鼻づまりや呼吸困難、いびき、くしゃみ、食欲不振などの症状が現れます。 鼻咽頭狭窄拡張術は狭くなった鼻咽頭を安全に広げるための治療法です。
一般的には、内視鏡や特殊なカテーテルを用いて、狭窄部分を物理的に拡張します。
当院では、ねこちゃんの負担を最小限に抑えた最新の拡張術を提供しています。 術前の丁寧な検査と麻酔管理で、安全かつ効果的な治療を目指します。
約3ヶ月前より鼻炎症状を主訴に他院を受診し、鼻炎としての治療が行われたものの、十分な改善が見られなかったため、精査を目的として当院を受診されました。 当院にてCT検査を実施したところ、鼻咽頭部に顕著な狭窄を認めたことから、呼吸器症状の改善を目的に、鼻咽頭狭窄に対するバルーン拡張術を実施しました。 処置後の経過は良好で、全身状態も安定していたため当日退院としました。 その後も経過観察を継続しており、現在までに7ヶ月が経過しましたが、再発は認められていません。

レントゲン検査:赤丸が狭窄部位

レントゲン検査:赤丸が狭窄部位

CT検査:赤丸が狭窄部位

CT検査:赤丸が狭窄部位

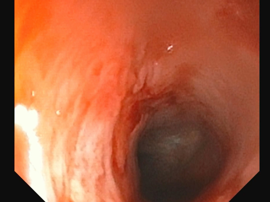
鼻腔内視鏡の様子:Jターン

鼻腔内視鏡の様子:内視鏡での狭窄部位

カテーテルを挿入した様子

カテーテルを挿入した様子

バルーン用のガイドワイヤー

バルーン拡張術の様子

Cアームにて拡張部位の確認

Cアームにて拡張部位の確認

手術の全体像

拡張後の鼻咽頭部
『傷』が小さく、『痛み』が少ない手術・検査ができます!!
内視鏡外科(低侵襲)を希望のかたは東京どうぶつ低侵襲医療センター・王子ペットクリニックに相談ください。
獣医師、看護師の方の見学受付中
セカンドオピニオンや日常のご相談まで幅広く対応。
飼い主様のニーズに応えるため、当院ではオンライン診療を行っています。
初めての飼い主様には、セカンドオピニオンや受診に迷った際のご相談を、かかりつけの飼い主様には、検査結果や治療・お薬、お世話に関する不安などに対応しています。
登録は無料ですので、ぜひお気軽にご利用ください。
Contact
| 診療時間 | 月 | 火 | 水 | 木 | 金 | 土 | 日 | 祝 |
|---|---|---|---|---|---|---|---|---|
| 9:00~12:00 通常診療 |
○ | 予 | ○ | ○ | ○ | ○ | ○ | ○ |
| 12:00~16:00 予約診療・手術 |
○ | 予 | ○ | ○ | ○ | ○ | ○ | ○ |
|
16:00~19:00 通常診療 ※土日は 15:30~18:00 |
○ | 予 | ○ | 猫 | ○ | ○ | ○ | ○ |
【獣医師指名について】
AM 11:30まで
PM 18:00まで