腹腔鏡下膵臓腫瘤摘出術は従来の開腹手術に比べて低侵襲(体への負担が少ない)であることが大きなメリットですが技術的に非常に高度であり、豊富な経験をもつ外科医のスキルが必要となります。 腫瘍の種類や位置、大きさによっては腹腔鏡手術が適さないこともあるため一度ご相談ください。
| 比較項目 | 腹腔鏡手術 | 開腹手術 |
|---|---|---|
| 傷の大きさ | 小さい | 大きい |
| 術後の痛み | 少ない | 多い |
| 入院期間 | 短い | 長い |
| 合併症リスク | 比較的低い | やや高め |
| 技術的難易度 | 非常に高い | 標準的(施設による) |
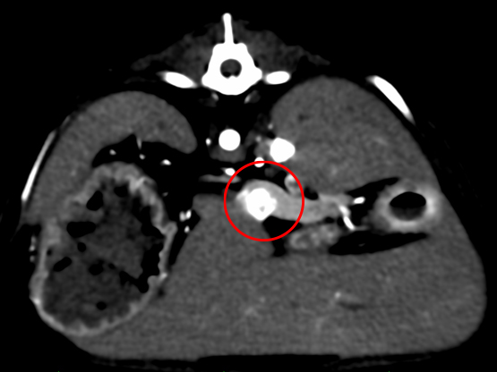
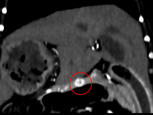
症状は特に見られなかったものの、血液検査で血糖値が低いことがわかりました。また、その時に測定したインスリンの値が高くなっていたため、膵臓に問題があるのではないかと考えました。 超音波検査を行いましたが、膵臓の位置の関係で腫瘤(しゅりゅう:できもの)をはっきり確認することが難しかったため、CT検査を実施したところ、膵臓の一部に腫瘤が見つかりました。 この結果から「インスリノーマ」という膵臓の腫瘍が強く疑われたため、腹腔鏡(ふくくうきょう)という小さな傷で体への負担が少ない手術で、腫瘤の摘出を行いました。 手術後の経過はとても良好で、術後3日で元気に退院されました。


術前のCT検査 CT検査にて腫瘤の位置、転移の有無を確認


CT検査のデータを3D画像化し血管走行等を把握
手術の様子


腹腔鏡カメラを用いて膵臓の確認、ICGを用いての膵臓腫瘤の辺縁の確認

エンドGIAを用いての膵臓腫瘤摘出

特殊な回収袋を用いての摘出した膵臓腫瘤の回収

転移を確認するための肝生検の実施

摘出した膵臓(病理検査結果:インスリノーマ)

傷口の写真
『傷』が小さく、『痛み』が少ない手術・検査ができます!!
内視鏡外科(低侵襲)を希望のかたは東京どうぶつ低侵襲医療センター・王子ペットクリニックに相談ください。
獣医師、看護師の方の見学受付中
セカンドオピニオンや日常のご相談まで幅広く対応。
飼い主様のニーズに応えるため、当院ではオンライン診療を行っています。
初めての飼い主様には、セカンドオピニオンや受診に迷った際のご相談を、かかりつけの飼い主様には、検査結果や治療・お薬、お世話に関する不安などに対応しています。
登録は無料ですので、ぜひお気軽にご利用ください。
Contact
| 診療時間 | 月 | 火 | 水 | 木 | 金 | 土 | 日 | 祝 |
|---|---|---|---|---|---|---|---|---|
| 9:00~12:00 通常診療 |
○ | 予 | ○ | ○ | ○ | ○ | ○ | ○ |
| 12:00~16:00 予約診療・手術 |
○ | 予 | ○ | ○ | ○ | ○ | ○ | ○ |
|
16:00~19:00 通常診療 ※土日は 15:30~18:00 |
○ | 予 | ○ | 猫 | ○ | ○ | ○ | ○ |
【獣医師指名について】
AM 11:30まで
PM 18:00まで