ペットの長寿命化や超音波検査の普及に伴って、肝臓や副腎の腫瘍と診断されるワンちゃんや猫ちゃんが増えています。 王子ペットクリニックにおいても、肝臓腫瘍・副腎腫瘍の手術は当院では大変多くなっています。 ほとんどの場合高齢で発生する病気であり、手術をするべきかどうか悩まれる飼い主様も多く、肝臓腫瘍や副腎腫瘍の多くは摘出手術により根治が見込めるものが多いですが、動物の年齢や手術のリスクによっては手術をしないという選択肢が適切な場合もあります。 当院では従来の開腹手術の他に、腹腔鏡手術による肝臓腫瘍・副腎腫瘍の摘出を実施してきました。しかしながら腫瘍のサイズによっては腹腔鏡で実施することは困難で開腹手術を行なう場合も多くあります。 そこで、さらに低侵襲にかつリスクの少ない治療法としてマイクロ波アブレーション(MicroWave Ablation:MWA)を実施しています。 MWAとは針状の器具を腫瘍内に挿入しマイクロ波(電子レンジと同じ原理)を用いて熱を発生し腫瘍を死滅させる手術方法です。 当院で導入したアブレーションシステムはマイクロ波を用いることで微小な血管や組織を凝固させることで出血を軽減させ短時間で効果を発揮することが可能であり、さらに球状に焼灼することで手術範囲の調整を安全に実施することができます。
Emprint ablation system(Covidien社Webサイトより)

腫瘍に挿入するための棒状のハンドピース
(アンテナ)

腫瘍に挿入したあとの焼灼のイメージ図

施術した後の肝臓の様子
白くなっているところが焼灼した部分が白く球状に焼灼されている
さらに当院ではフュージョンイメージングというCTやMRIなどの画像データをコンピュータで処理し、 超音波で描出されているのと同じ断面を作成して超音波画像と並べて比較することにより開腹せずに正確に腫瘍内部に器具を挿入することが可能です。

CT

超音波検査
赤矢印で示しているのが針(アンテナの先端)

実際の手術の様子(開腹はしない場合)フージョンイメージングを用いて超音波ガイド下で腫瘍に器具を挿入する
この手術方法を用いることで大きな侵襲を伴う手術を行わずに効果的な治療が可能となります。 短時間(数分)での施術や傷口の少なさなどのメリットがあり、老齢であったり持病があるせいで大きな侵襲のかかってしまい手術が困難な動物にも対応することが可能です。 様々な動物に対応でき回復期間も大幅に短くなるため、動物と飼い主様の負担も軽減されます。サイズや発生部位的に摘出困難であった腫瘍に実施することで、腫瘍を縮小させてから摘出手術を実施することも可能です。 また、開腹手術と組み合わせることにより腫瘍の完全摘出は困難でも、主要血管を結紮し血流阻害を行なった上でアブレーションを実施することで最大限腫瘍を縮小させるハイブリッド手術も可能です。
肝臓腫瘍のセカンドオピニオンで来院され、CTを撮影したところ肝臓の根元に腫瘍が認められました。 太い血管にかなり密接しており完全に摘出できるかわかりませんでしたが摘出を目的に開腹手術を行ないました。 手術時にやはり内側右葉という肝臓の根元に腫瘍が存在していました。まずは腫瘍に入ってきている血管を結紮していきます。 順番に結紮していったところやはり最後に太い血管と張り付いており完全に剥離するのが困難でした。 そこでアブレーションを組み合わせることで腫瘍を縮小していくこととしました。 周囲の組織に影響が出ないよう周囲を生理食塩水で冷やしながら実施しました。

開腹直後の肝臓腫瘍(黄色矢頭)

流入する栄養(肝動脈、門脈)血管を止めたあとの肝臓腫瘍血流がなくなり色が悪くなっている

肉眼にて器具のアンテナ(青矢頭)挿入位置を決定してアブレーションを実施している

アブレーション実施後の肝臓腫瘍の外観
白く変色している
このように開腹手術と組み合わせることにより腫瘍の完全摘出は困難でも、主要血管を結紮し血流阻害を行なった上でアブレーションを実施することで最大限腫瘍を縮小させるハイブリッド手術も可能です。同時に分子標的薬や免疫治療も可能です。
外側左葉に63.3㎜×61.5㎜の肝臓腫瘍が認められ細胞診にて肝細胞癌と診断されたました。 摘出も可能でしたが高齢であり、過去に何度か開腹手術もしており、甲状腺がんの摘出も同時に手術を行うため負担の少なさを考慮しフュージョンイメージングを用いてアブレーションを実施しました。 超音波ガイド下で肝臓腫瘍の周囲に生理食塩水を満たすことで周囲の組織を熱で損傷することなく安全に実施が可能です。 術後の経過も良好で次の日に退院しました。

アブレーション実施の様子
超音波を当てながらアンテナ(青矢頭)を挿入している

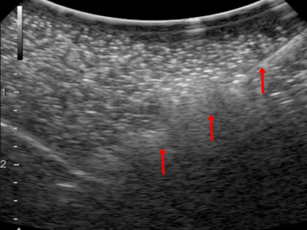
アブレーション実施中の超音波画像
アンテナ(青矢頭)と焼灼されているところ(赤丸)

アブレーション実施中の超音波画像
アンテナ(青矢頭)と焼灼されているところ(赤丸)
内側左葉に36.2×45.1㎜の腫瘤が認められ、ツルーカット生検で肝細胞癌と診断されました。 摘出も可能でしたがもともと肝臓が小さく肝機能が低下しているため負担の少なさを考慮してフュージョンイメージングを用いてアブレーションを実施しました。 症例②と同様に肝臓腫瘍の周囲に生理食塩水を満たして実施しました。 術後は合併症もなく翌日元気に退院しました。摘出手術を行うよりも麻酔時間の短縮や術後の経過が良好でした。

フュージョンイメージング
アブレーションする範囲を緑丸のようにガイドをつけることも可能

フュージョンイメージングのガイドを用いてアブレーションを実施
アンテナ(青矢頭)と焼灼されているところ(赤丸)

アブレーション後の超音波画像
アンテナ(青矢頭)と焼灼されているところ(赤丸)
開腹手術やアブレーション治療を組み合わせることにより様々なタイプでも対応することが可能です。
肝臓腫瘍や副腎腫瘍でお悩みの方は王子ペットクリニック(どうぶつ低侵襲医療センター)までお問い合わせください。
『傷』が小さく、『痛み』が少ない手術・検査ができます!!
内視鏡外科(低侵襲)を希望のかたは東京どうぶつ低侵襲医療センター・王子ペットクリニックに相談ください。
獣医師、看護師の方の見学受付中
セカンドオピニオンや日常のご相談まで幅広く対応。
飼い主様のニーズに応えるため、当院ではオンライン診療を行っています。
初めての飼い主様には、セカンドオピニオンや受診に迷った際のご相談を、かかりつけの飼い主様には、検査結果や治療・お薬、お世話に関する不安などに対応しています。
登録は無料ですので、ぜひお気軽にご利用ください。
Contact
| 診療時間 | 月 | 火 | 水 | 木 | 金 | 土 | 日 | 祝 |
|---|---|---|---|---|---|---|---|---|
| 9:00~12:00 通常診療 |
○ | 予 | ○ | ○ | ○ | ○ | ○ | ○ |
| 12:00~16:00 予約診療・手術 |
○ | 予 | ○ | ○ | ○ | ○ | ○ | ○ |
|
16:00~19:00 通常診療 ※土日は 15:30~18:00 |
○ | 予 | ○ | 猫 | ○ | ○ | ○ | ○ |
【獣医師指名について】
AM 11:30まで
PM 18:00まで