【診療科目】>肝臓胆嚢膵臓専門診療> 犬猫の肝胆膵疾患
王子ペットクリニックでは犬猫の胆嚢にまつわる病気の多くの治療実績と高い技術力がございます。 胆嚢の疾患は、しっかりとした診断と適切な処置をしないと、命に係わる病気です。 定期的な検診を行い、疾病を早期発見し、治療することが重要です。
犬4kg。犬の腹腔鏡下胆嚢摘出術。症例は非常に癒着がひどく胆嚢を剥離するのが大変だった。 4ポートでの摘出となったが出血は少なく摘出が可能であった。 CLARA&CROMAという新しいモードで手術している。 これは暗いところ明るくし、CROMAは赤を強くしコントラストをつけることにより血管一本までしっかりと確認することができる。 少しギラギラするが、手術しやすくなる。
犬 胆嚢粘液嚢腫と胆管にSLUDGEを認める。閉塞の危険性があり胆嚢摘出と胆管洗浄を実施。 無事に何事もなく終了。元気に退院。
犬 3.5kg胆嚢粘液嚢腫 重度の胆嚢粘液嚢腫であり副腎皮質機能亢進症もあったので万が一のことも考え飼い主さんと一緒にオペに踏み切るか非常に悩んだ。 体重から考えると正常な胆嚢の10倍以上に拡張しいつ破裂してもおかしくない危険な状況であった。
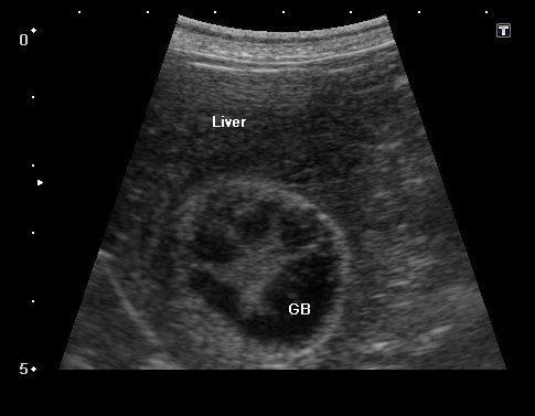
胆嚢とは、肝臓で作られる胆汁(消化液)を一時的に蓄える袋状の器官です。
食物を食べると胆嚢が収縮し、これにより胆嚢内に溜まった胆汁が総胆管という管を通って十二指腸に吐き出されます。
分泌された胆汁は、膵臓の消化液などと一緒になり、食べ物中の脂肪分を消化吸収されやすいよう乳化する役割を担っています。
ところが、何らかの異常で胆嚢内に胆汁成分が変質して結晶化したもの(胆石症)や、胆汁成分が変質して泥状になったものがたまる(胆泥症)ことがあります。
またこれらの異常が進行していくと、胆嚢粘液嚢腫になってしまうといわれています。
胆嚢疾患により胆汁を十二指腸に排泄できなくなると胆汁うっ滞が生じます。 元気食欲がなくなり、嘔吐が起きます。
また、ウンチが白色になったり、黄疸(体が黄色になる)が見られます。
胆嚢が腹腔内で破裂すると、突然ショック状態に陥り、最悪の場合突然死することがあります。
胆嚢が破裂した様子を腹腔内にカメラを入れて観察した像です。
胆嚢から漏れ出た胆汁が腹腔内に確認できます
症状が現れた場合は、胆嚢を摘出する緊急手術を実施する必要があるため、すぐに動物病院に行くことをお勧めします。
ただ、症状が発現してからの手術はリスクが高いため、早期診断・早期治療が望ましいです。
定期的な血液検査(最低年に1回)を実施し、肝酵素等が上昇していれば胆嚢のエコー検査をします。
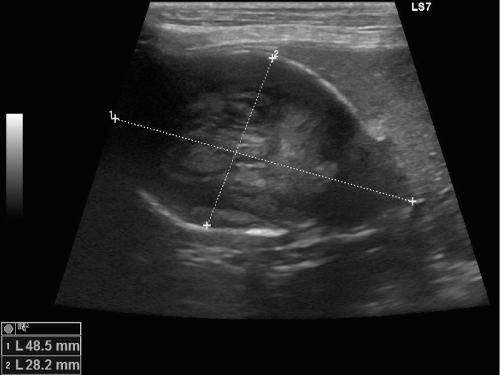
胆嚢粘液嚢腫の場合、エコー検査では放射状に胆泥が胆嚢壁に付着したキウイフルーツ状の所見が見られます。
早期に胆嚢疾患が見つかれば、内服にて病気の進行を遅くしていきます。
宮崎大学農学部附属動物病院に所属されている鳥巣至道先生に肝臓専門医のアドバイザーとして定期的に来院して頂いています。
肝臓専門診療では胆嚢粘液嚢腫の治療も行なっています。
胆嚢の病気でお悩みの方は当院まで紹介診療にも対応しています。
以下に、当院で実施した手術症例の一部をご紹介いたします。
エコーで胆嚢炎と胆嚢粘液嚢腫であることを確認し、破裂の危険性 を考えて腹腔鏡下胆嚢摘出術を実施することになりました。


臨床症状もなかったので腹腔鏡下胆嚢摘出術


胆嚢の周囲の脂肪や膵臓、十二指腸が激しく癒着し剥離が困難な状態でした。 胆嚢は全く確認することができませんでした。
少しずつ癒着を剥がして胆嚢が確認できるようになってきました。
こんなに癒着していることはあまりないので過去に膵炎や胆嚢炎を起こし苦しい時期があったことが推測されました。
それにしてもなかなか胆嚢はでてきませんでした。
摘出した胆嚢はカチカチで中にはゼリー状の硬い物質が詰まっていました。
手術は丁寧に剥離していったため時間がかかってしまいました。
症状がなかったので、こんなに大変な状態になっているとは。


他院より紹介。胆嚢炎がひどく繰り返す嘔吐がありました。 腹膜と一部横隔膜に胆嚢ががっちりと癒着していました。 体重が2kgと体も小さかったのですが、飼い主さんの希望もあり、腹腔鏡下で手術を実施することになりました。


丁寧に丁寧に出血をコントロールしながら少しずつ手術をすすめていきます。
癒着(矢印)がひどく胆嚢を確認することができませんでした。
このように癒着しているときはギリギリで剥がすとひどく出血をおこすことがあるので無理にはがそうとしないで、脂肪の血管に注意しながら脂肪ごと剥がしていきます。
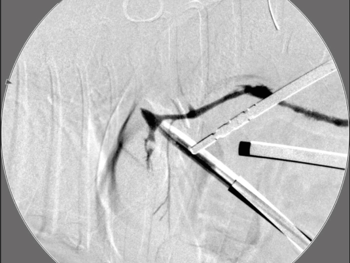
胆嚢の通路がちゃんと開通しているのか調べるために造影検査をしています。
この処置をすることで洗浄の効果と詰まりを確認することができます。


体の外に出すためお腹の中で袋に入れていきます。
このときに胆嚢と一緒にクリップやガーゼも回収します。
そしてお腹の中をきれいにしていきます。


最後にお腹の中をきれいに洗浄していきます。
胆嚢は分厚くなり周りには脂肪が張り付いていました。
手術して元気になりました。


胆嚢の頸部に糸を通し動脈を確保しています。
総胆洗浄をして詰まりがないかまずは確認します。(右)
きれいに開通していました。鉗子が大きく感じますが体が小さいので大きく見えます。


胆嚢を少しずつ丁寧に肝臓から剥がしています。
回収袋にいれて体外に摘出していきます。


お腹の中を洗浄して終了となります。
経過が長かったので周りの臓器に癒着していたワンちゃんです。
胆嚢(矢印)の取り囲むように肝臓や腸が癒着していました。
肝臓の表面はボコボコしています。
詰まりがないかを透視で確認しています。


回収袋にいれて終わりになります。



チューブを設置して終了です。
『傷』が小さく、『痛み』が少ない手術・検査ができます!!
内視鏡外科(低侵襲)を希望のかたは東京どうぶつ低侵襲医療センター・王子ペットクリニックに相談ください。
獣医師、看護師の方の見学受付中
セカンドオピニオンや日常のご相談まで幅広く対応。
飼い主様のニーズに応えるため、当院ではオンライン診療を行っています。
初めての飼い主様には、セカンドオピニオンや受診に迷った際のご相談を、かかりつけの飼い主様には、検査結果や治療・お薬、お世話に関する不安などに対応しています。
登録は無料ですので、ぜひお気軽にご利用ください。
Contact
| 診療時間 | 月 | 火 | 水 | 木 | 金 | 土 | 日 | 祝 |
|---|---|---|---|---|---|---|---|---|
| 9:00~12:00 通常診療 |
○ | 予 | ○ | ○ | ○ | ○ | ○ | ○ |
| 12:00~16:00 予約診療・手術 |
○ | 予 | ○ | ○ | ○ | ○ | ○ | ○ |
|
16:00~19:00 通常診療 ※土日は 15:30~18:00 |
○ | 予 | ○ | 猫 | ○ | ○ | ○ | ○ |
【獣医師指名について】
AM 11:30まで
PM 18:00まで