症例は6歳齢、3 kgのトイプードルです。
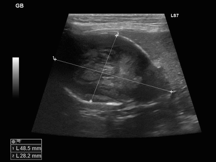
エコー検査では胆嚢の中を満たすほど胆泥が溜まっています。
このままにしておくと胆嚢がいつ破裂するか分かりません。
この症例は糖尿病や膵炎を併発していたため、体に負担のかかる大きな手術にはオーナー様も積極的にはなれませんでした。 しかし、負担の小さな腹腔鏡での手術であればと手術に臨みました。
お腹にトロッカーを4本挿入し、そこから鉗子とカメラを入れて胆嚢を肝臓から剥がしていきます。 カメラで拡大しながら見ることができるので開腹手術よりも視野が確保できます。
手術の様子

摘出した胆嚢にはゼリー状の胆泥がへばりついていました。

写真は抜糸前の状態です。傷口は1cm程度の傷が4つと5mm程度の傷が1つになりました。
腹腔鏡を用いた手術では傷口が小さく、動物にかかる負担は軽くなります。
また、術後も回復が早く退院の時期が早いため、入院によるストレスも最小限に抑えられます。
このワンちゃんは術後の状態もよく、手術後4日目に無事退院しました。
胆嚢の状態にもよりますが、合併症のある子やストレスを感じやすい子は腹腔鏡による手術で負担を軽くしてあげることが出来るかもしれません。


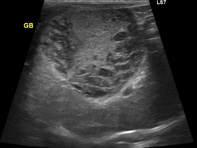
エコーで胆嚢炎と胆嚢粘液嚢腫であることを確認し、破裂の危険性を考えて腹腔鏡下胆嚢摘出術を実施することになりました。


臨床症状もなかったので腹腔鏡下胆嚢摘出術

胆嚢の周囲の脂肪や膵臓、十二指腸が激しく癒着し剥離が困難な状態でした。胆嚢は全く確認することができませんでした。

少しずつ癒着を剥がして胆嚢が確認できるようになってきました。 こんなに癒着していることはあまりないので過去に膵炎や胆嚢炎を起こし苦しい時期があったことが推測されました。 それにしてもなかなか胆嚢はでてきませんでした。


摘出した胆嚢はカチカチで中にはゼリー状の硬い物質が詰まっていました。
手術は丁寧に剥離していったため時間がかかってしまいました。
症状がなかったので、こんなに大変な状態になっているとは。


他院より紹介。胆嚢炎がひどく繰り返す嘔吐がありました。 腹膜と一部横隔膜に胆嚢ががっちりと癒着していました。 体重が2kgと体も小さかったのですが、飼い主さんの希望もあり、腹腔鏡下で手術を実施することになりました。

丁寧に丁寧に出血をコントロールしながら少しずつ手術をすすめていきます。

癒着(矢印)がひどく胆嚢を確認することができませんでした。 このように癒着しているときはギリギリで剥がすとひどく出血をおこすことがあるので無理にはがそうとしないで、脂肪の血管に注意しながら脂肪ごと剥がしていきます。


胆嚢の通路がちゃんと開通しているのか調べるために造影検査をしています。 この処置をすることで洗浄の効果と詰まりを確認することができます。

体の外に出すためお腹の中で袋に入れていきます。

このときに胆嚢と一緒にクリップやガーゼも回収します。そしてお腹の中をきれいにしていきます。

最後にお腹の中をきれいに洗浄していきます。

胆嚢は分厚くなり周りには脂肪が張り付いていました。手術をして元気になりました。

胆嚢の頸部に糸を通し動脈を確保しています。

総胆洗浄をして詰まりがないかまずは確認します。

きれいに開通していました。鉗子が大きく感じますが体が小さいので大きく見えます。

胆嚢を少しずつ丁寧に肝臓から剥がしています。

回収袋にいれて体外に摘出していきます。

お腹の中を洗浄して終了となります。

胆嚢(矢印)の取り囲むように肝臓や腸が癒着していました。肝臓の表面はボコボコしています。

詰まりがないかを透視で確認しています。

詰まりがないかを透視で確認しています。



回収袋にいれて終わりになります。

チューブを設置して終了です。
『傷』が小さく、『痛み』が少ない手術・検査ができます!!
内視鏡外科(低侵襲)を希望のかたは東京どうぶつ低侵襲医療センター・王子ペットクリニックに相談ください。
獣医師、看護師の方の見学受付中
セカンドオピニオンや日常のご相談まで幅広く対応。
飼い主様のニーズに応えるため、当院ではオンライン診療を行っています。
初めての飼い主様には、セカンドオピニオンや受診に迷った際のご相談を、かかりつけの飼い主様には、検査結果や治療・お薬、お世話に関する不安などに対応しています。
登録は無料ですので、ぜひお気軽にご利用ください。
Contact
| 診療時間 | 月 | 火 | 水 | 木 | 金 | 土 | 日 | 祝 |
|---|---|---|---|---|---|---|---|---|
| 9:00~12:00 通常診療 |
○ | 予 | ○ | ○ | ○ | ○ | ○ | ○ |
| 12:00~15:30 予約診療・手術 |
○ | 予 | ○ | ○ | ○ | ○ | ○ | ○ |
|
15:30~18:30 通常診療 ※土日は 15:30~18:00 |
○ | 予 | ○ | 猫 | ○ | ○ | ○ | ○ |
【獣医師指名について】
AM 11:30まで
PM 18:00まで