【診療科目】>腎臓病センター(泌尿器科)> SUBシステム
SUB(Subcutaneous Ureteral Bypass)システムとは、尿管閉塞の治療として、尿管とは別に腎臓―膀胱バイパスを設置するシステムです。
尿管ステントより径の太い2本のカテーテル(ロッキングループ腎瘻カテーテル、膀胱瘻カテーテル)のうち、ループカテーテルの先を腎盂に、
ストレートカテーテルの先を膀胱に設置し、尿管を通さずに2本のカテーテルを一旦皮下に出して、皮下に設置したポートでつなぎます。
腎臓から出た尿はポートを通り、尿管を迂回して膀胱に流れ込みます。
尿管とは別のルートを確保するので、尿管断裂や術部からの尿の漏れのリスクを回避出来ます。
また、ポート部から砂状の結石などの洗浄を行う事が可能なため、再閉塞のリスクを軽減する利点があります。



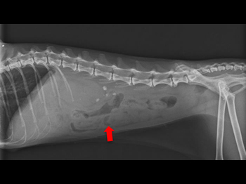
他院より紹介されたケース、この猫ちゃんは左右尿管に 結石(矢印)が詰まっていました。

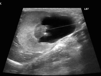
尿管結石が原因で腎臓は水腎症になっていました。
尿管結石除去

強い痛みが残る可能性もあるため、当院では尿管結石も除去しています。

尿管結石を全て取り除くため、尿管の再建手術が必要になりました。

尿管をつなぎ合わせました。髪の毛より細い糸でつなぎ合わせます。
造影で漏れがないか何度も確認


必ず透視下にて漏れがないか何度も確認をします。 透視をしないとシステムや装着部分からの漏れが確認されたり、トラブルが考えられます。
実際、他院で装着して漏れがあるなどの相談をうけることがしばしばあります。
透視下にて実施すれば適切な位置に装着できます。
綺麗につければ感染や漏れもほとんどなく、経過はとても良好です。
人工尿管(SUBシステム2.0)を設置

尿管結石を取り除き人工尿管(SUBシステム2.0)を設置しました。

水腎症は改善しました。
結石も取り除きの痛みからも解放されて元気に退院してくれました。

左右の尿管結石が同時に詰まってしまい左の尿管が破裂(矢印)していました。

左右の尿管結石が同時に詰まってしまい左の尿管が破裂(矢印)していました。

新しいSUBシステム2.0を設置
漏れている左尿管を修復しSUBシステム2.0を左右の腎臓に装着しました。


尿管結石2箇所以上閉塞による水腎症。
内科的な治療にも反応せず、SUBシステムをいれることになりました。
透視下にて腎盂に入っていることを確認。
ここにカテーテルを装着していきます。

SUBシステムを設置しました。

漏れを確認して終了となりました。


他院からの紹介で来院されました。静脈性尿路造影で左の腎臓が閉塞し尿管結石は認められませんでした。
腎盂尿管より塞栓物を除去



SUBシステム2.0を設置


結石ではなかったため全て塞栓物を除去し、透視下にてSUBシステムを設置しました。


数ヶ月後、右の腎臓も水腎症になったため両側にSUBシステムを設置しました。
当院では内視鏡で結石破砕や摘出、尿管閉塞の治療も含め対応可能です。
高度な技術と知識が必要となります。
『傷』が小さく、『痛み』が少ない手術・検査ができます!!
内視鏡外科(低侵襲)を希望のかたは東京どうぶつ低侵襲医療センター・王子ペットクリニックに相談ください。
獣医師、看護師の方の見学受付中
セカンドオピニオンや日常のご相談まで幅広く対応。
飼い主様のニーズに応えるため、当院ではオンライン診療を行っています。
初めての飼い主様には、セカンドオピニオンや受診に迷った際のご相談を、かかりつけの飼い主様には、検査結果や治療・お薬、お世話に関する不安などに対応しています。
登録は無料ですので、ぜひお気軽にご利用ください。
Contact
| 診療時間 | 月 | 火 | 水 | 木 | 金 | 土 | 日 | 祝 |
|---|---|---|---|---|---|---|---|---|
| 9:00~12:00 通常診療 |
○ | 予 | ○ | ○ | ○ | ○ | ○ | ○ |
| 12:00~16:00 予約診療・手術 |
○ | 予 | ○ | ○ | ○ | ○ | ○ | ○ |
|
16:00~19:00 通常診療 ※土日は 15:30~18:00 |
○ | 予 | ○ | 猫 | ○ | ○ | ○ | ○ |
【獣医師指名について】
AM 11:30まで
PM 18:00まで