胸腔鏡手術(VATS)は小さな数カ所の切開から、内視鏡カメラと専用の器具を使って、胸腔内で腫瘍を摘出する方法です。
| 比較項目 | 胸腔鏡手術(VATS) | 開胸手術 |
|---|---|---|
| 侵襲性 (体への負担) | 低侵襲 (小さな切開) | 高侵襲 (胸を大きく開く必要がある) |
| 術後の痛み | 少ない | 多い |
| 出血・感染のリスク | 少ない | 多い傾向がある |
| 手術時間 | やや長くなるいことが多い | 術者の技量次第 |
| 設備・技術 | 専用機材・高度な技術が必要 | 一般的な設備で実施可能 |
| 腫瘍サイズへの対応 | 小~中程度の腫瘍に適応 | 大きな腫瘍・浸潤ありでも対応可能 |
| 合併症リスク | 少ないが気胸などのリスク | 感染・癒着・出血のリスクがやや高い |
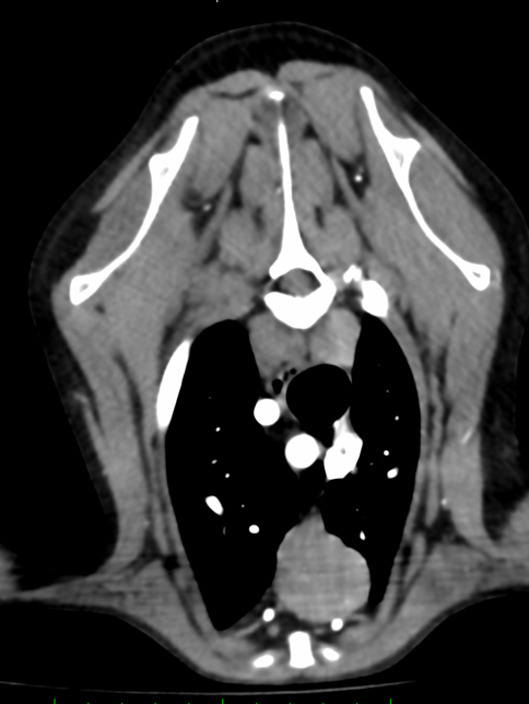
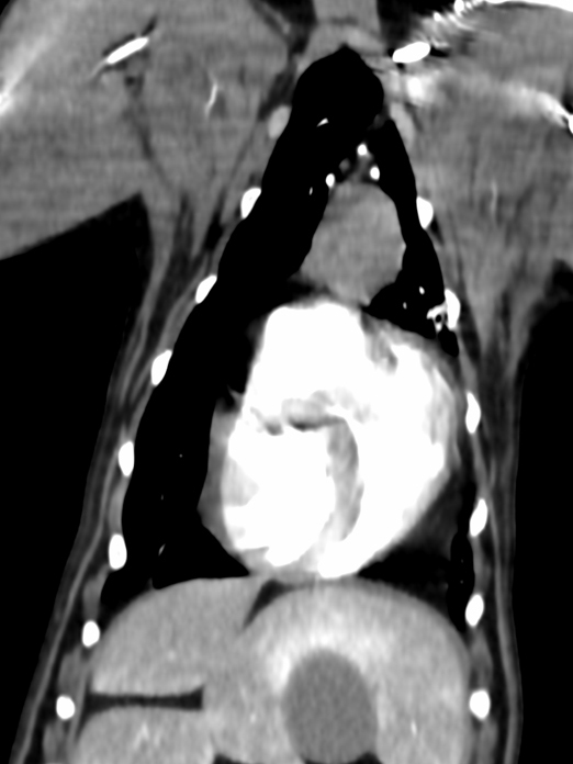
他疾患の手術前検査として実施した胸部レントゲン検査にて、前縦隔部に腫瘤性病変を認めたことから、精査のためCT検査を実施しました。 CT所見より、胸腺腫や異所性甲状腺腫瘍などの腫瘍性疾患が強く疑われたため、胸腔鏡を用いた腫瘤摘出術を行いました。 術前より臨床症状は認められず、全身状態も良好であったため、術後の経過は順調であり、術後2日目に退院となりました。
手術前のレントゲン画像

手術前のCT検査

手術前のCT検査

CT検査のデータを3D画像化し血管走行等を把握

CT検査のデータを3D画像化し血管走行等を把握

手術中の様子

胸腔鏡下での腫瘤病変の確認

摘出した後に特殊な回収袋で回収

摘出した腫瘤病変(病理検査結果:胸腺腫)

手術後の傷口
術後のレントゲン画像写真
『傷』が小さく、『痛み』が少ない手術・検査ができます!!
内視鏡外科(低侵襲)を希望のかたは東京どうぶつ低侵襲医療センター・王子ペットクリニックに相談ください。
獣医師、看護師の方の見学受付中
セカンドオピニオンや日常のご相談まで幅広く対応。
飼い主様のニーズに応えるため、当院ではオンライン診療を行っています。
初めての飼い主様には、セカンドオピニオンや受診に迷った際のご相談を、かかりつけの飼い主様には、検査結果や治療・お薬、お世話に関する不安などに対応しています。
登録は無料ですので、ぜひお気軽にご利用ください。
Contact
| 診療時間 | 月 | 火 | 水 | 木 | 金 | 土 | 日 | 祝 |
|---|---|---|---|---|---|---|---|---|
| 9:00~12:00 通常診療 |
○ | 予 | ○ | ○ | ○ | ○ | ○ | ○ |
| 12:00~16:00 予約診療・手術 |
○ | 予 | ○ | ○ | ○ | ○ | ○ | ○ |
|
16:00~19:00 通常診療 ※土日は 15:30~18:00 |
○ | 予 | ○ | 猫 | ○ | ○ | ○ | ○ |
【獣医師指名について】
AM 11:30まで
PM 18:00まで